Dr GREGORY BAILLIARD
Dentiste
Disponible aujourd'hui de 8h à 12h et de 13h à 18h
00 41 22 95 97 50 0
Av. Krieg 4, 1208 Genève, Suisse

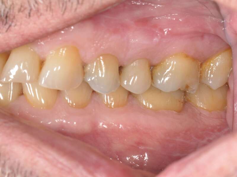
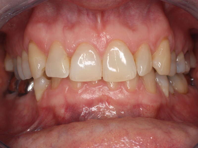
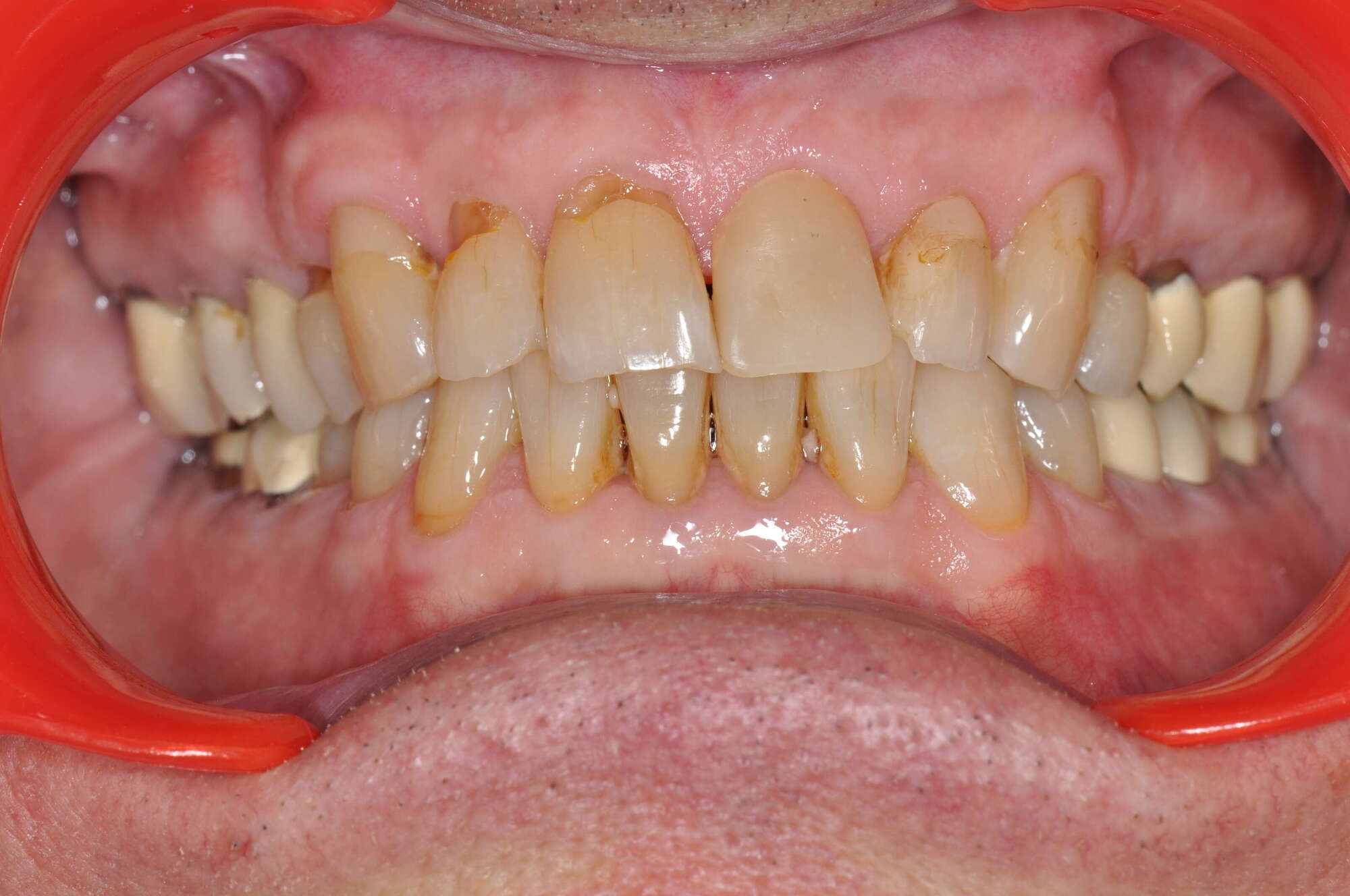
Evolution de l'usure dentaire

Non traitée, l'usure des dents évolue inexorablement. Ces photos montrent l'évolution de l'usure des dents et des gencives suite à un bruxisme et un brossage trop agressif d'une patiente, sur une durée de 7 ans.

Malgré sa peur de perdre ses dents, la patiente n'a pas souhaité réaliser de traitement.

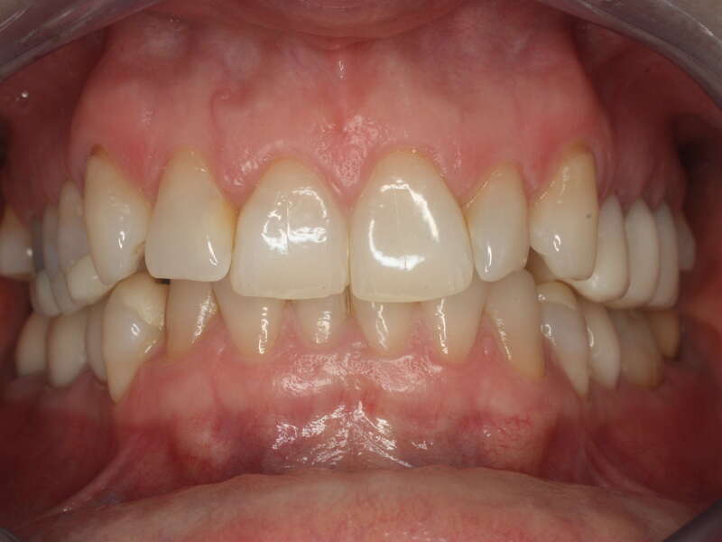
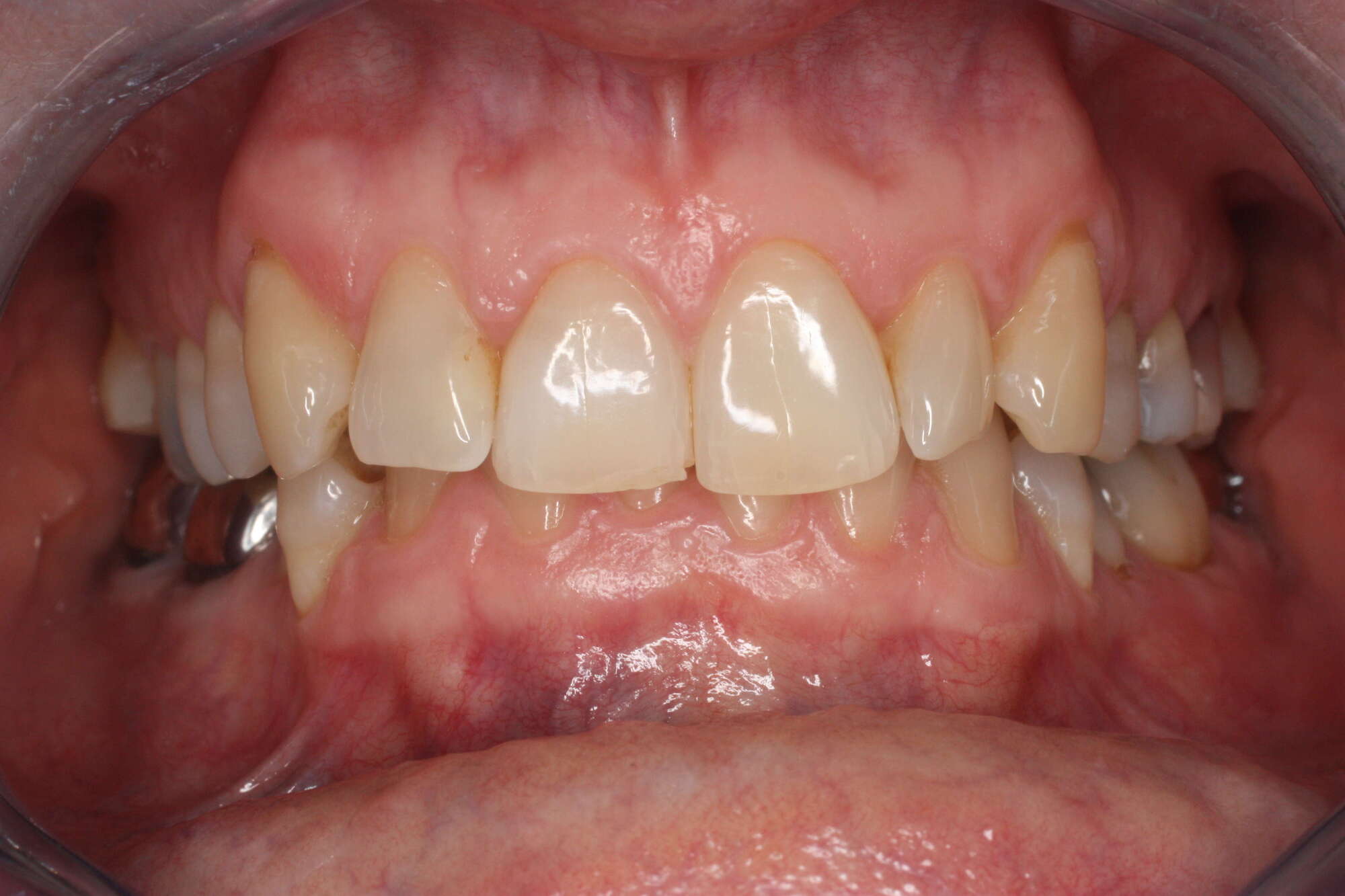
Réhabilitation globale sur une patiente phobique

Ici la patiente présentait une occlusion de classe 2 avec un articulé très serré. En plus d'une demande esthétique, elle souhaitait "être capable de mastiquer à nouveau une entrecôte". La "seule" contrainte qu'elle nous a présentée était : "pas de chirurgie" et de réaliser les soins sous MEOPA car elle avait la phobie des soins dentaires.
Après définition d'une position d'ancrage physiologique de la mandibule, testée par le port d'une gouttière 24 h/24 il a été validé que ses douleurs posturales avaient disparu. Un ensemble de couronnes, facettes et onlays en céramique pressée a alors été réalisé. La patiente était enchantée de retrouver la possibilité de sourire et de mastiquer tous les plats qu'elle aimait.
Aujourd'hui, le temps de réalisation de ce type de traitements a été divisé par 2 grâce aux technologies numériques (scanner intra-oral et Modjaw)

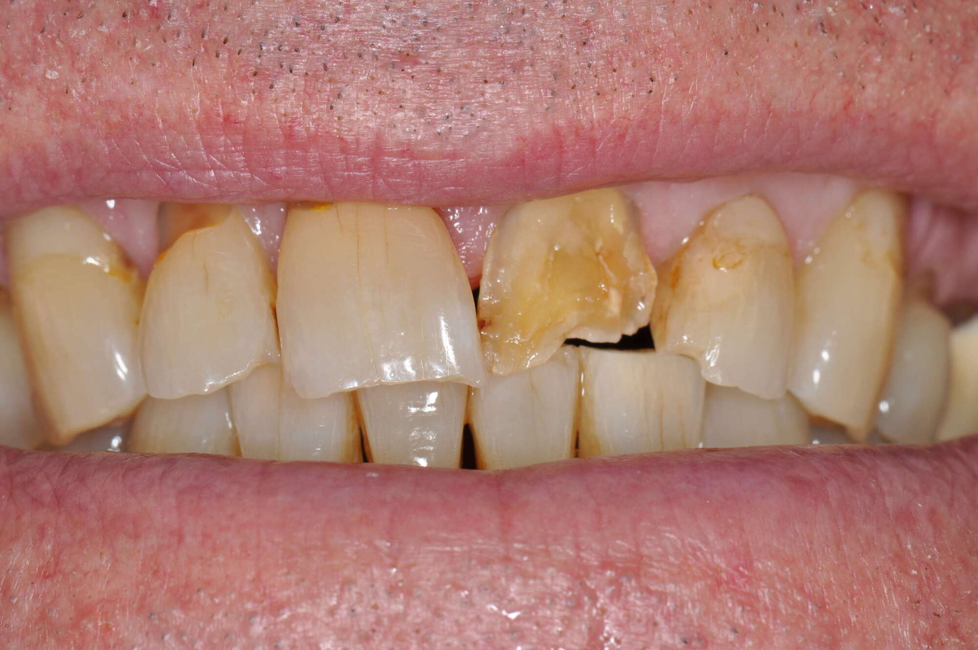
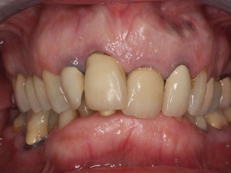
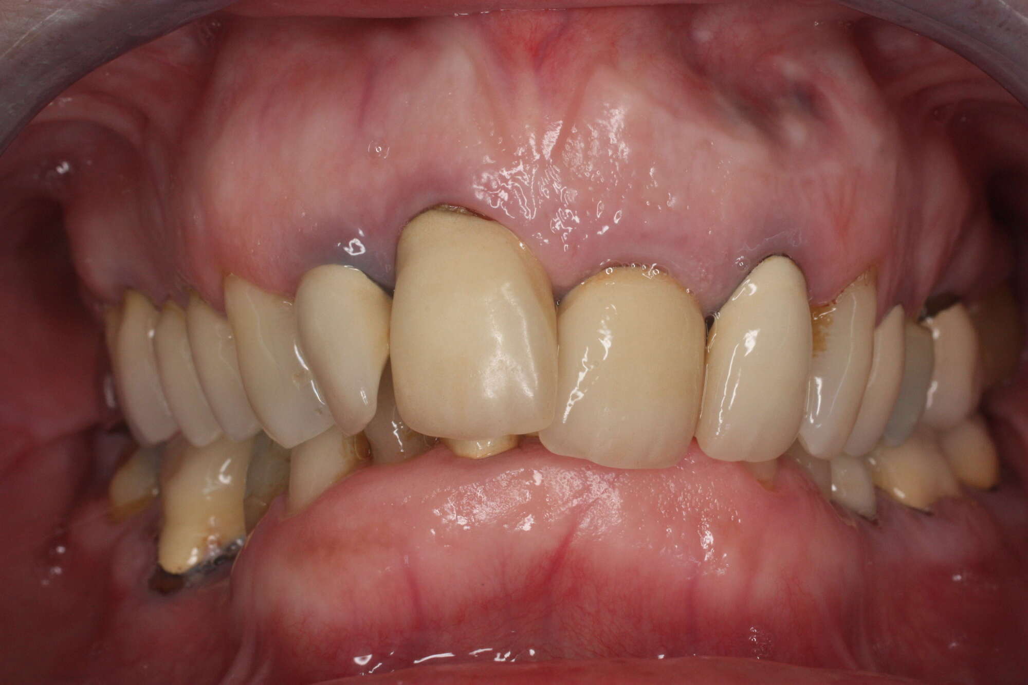
Fragilisation des dents à cause de l'usure dentaire 

Un patient qui a négligé l'usure de ses dents car il n'avait aucune douleur s'est retrouvé subitement avec une incisive fracturée. La gêne esthétique et fonctionnelle était évidente.
Le traitement d'urgence a consisté en une simple réparation au composite. Deux mois plus tard, la dent était à nouveau cassée. Le patient a donc accepté une consolidation de ses dents usées par des reconstructions en céramique pressée sur toute la mâchoire supérieure.
Après un suivi à 7 ans, toutes les restaurations sont toujours en place.

Traitement d'une dysfonction des ATM 

Cette patiente présentait une dysfonction des ATM telle qu'elle lui provoquait des migraines et des douleurs dorsales qui l'avaient obligée à quitter son travail.
Le traitement a commencé par le port d'une gouttière mandibulaire 24h / 24 pendant 9 mois, le cas étant complexe.
Après être sûr que les douleurs posturales avaient disparu et que la position d'ancrage mandibulaire choisie était thérapeutique, des reconstructions provisoires ont été collées sur les dents.
3 mois après, la situation étant stable, les reconstructions par facettes et onlays en céramique ont pu être réalisées.

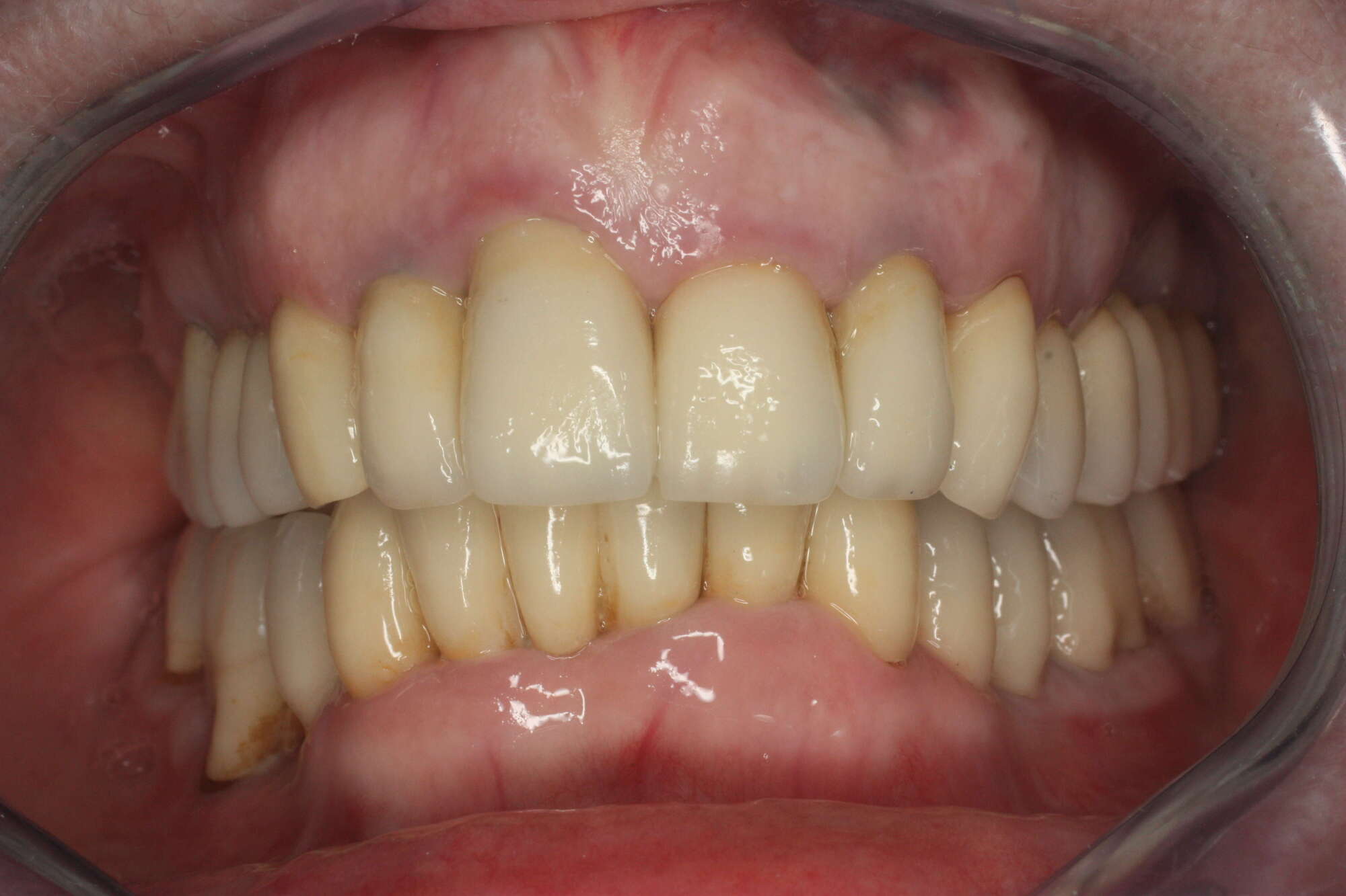
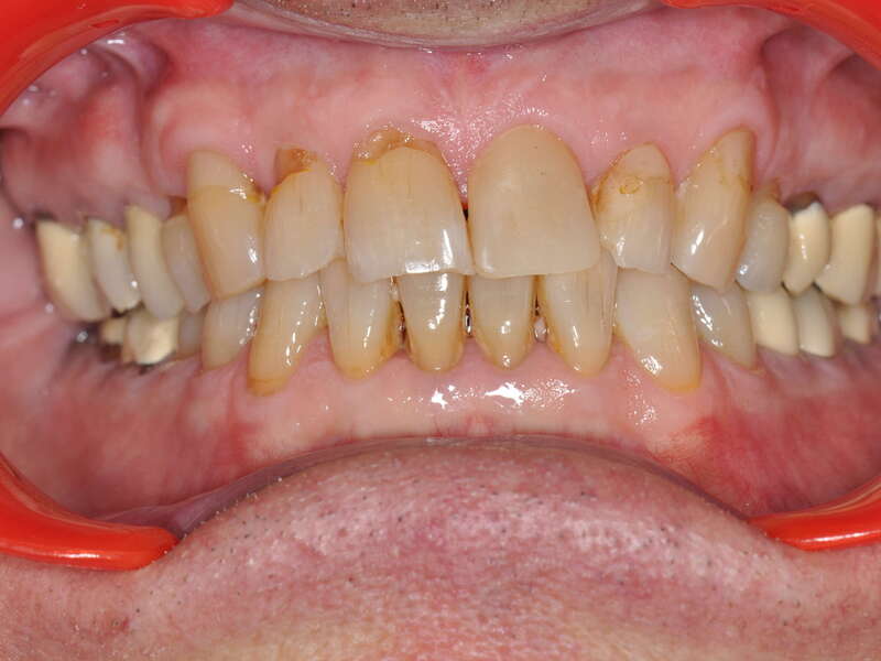
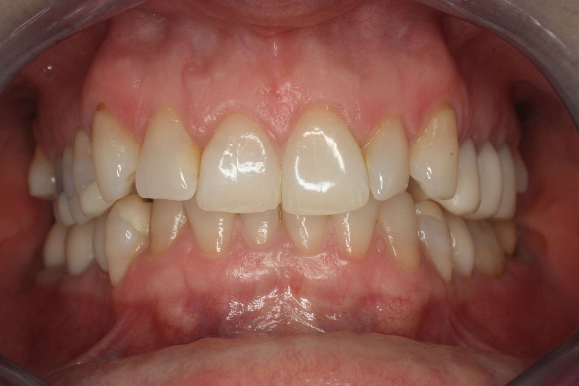
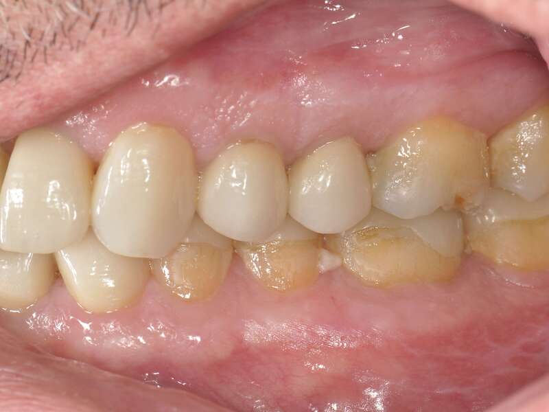
Traitement d'un cas d'usure sévère 

Ce patient avait une usure sévère multifactorielle : combinaison de bruxisme, d'usure acide et d'usure liée au brossage.
Bien conscient du phénomène, il n'avait pu réaliser le traitement avant d'être à la retraite.
Le traitement a été réalisée grâce à des facettes, onlays, couronnes et implants dentaires.

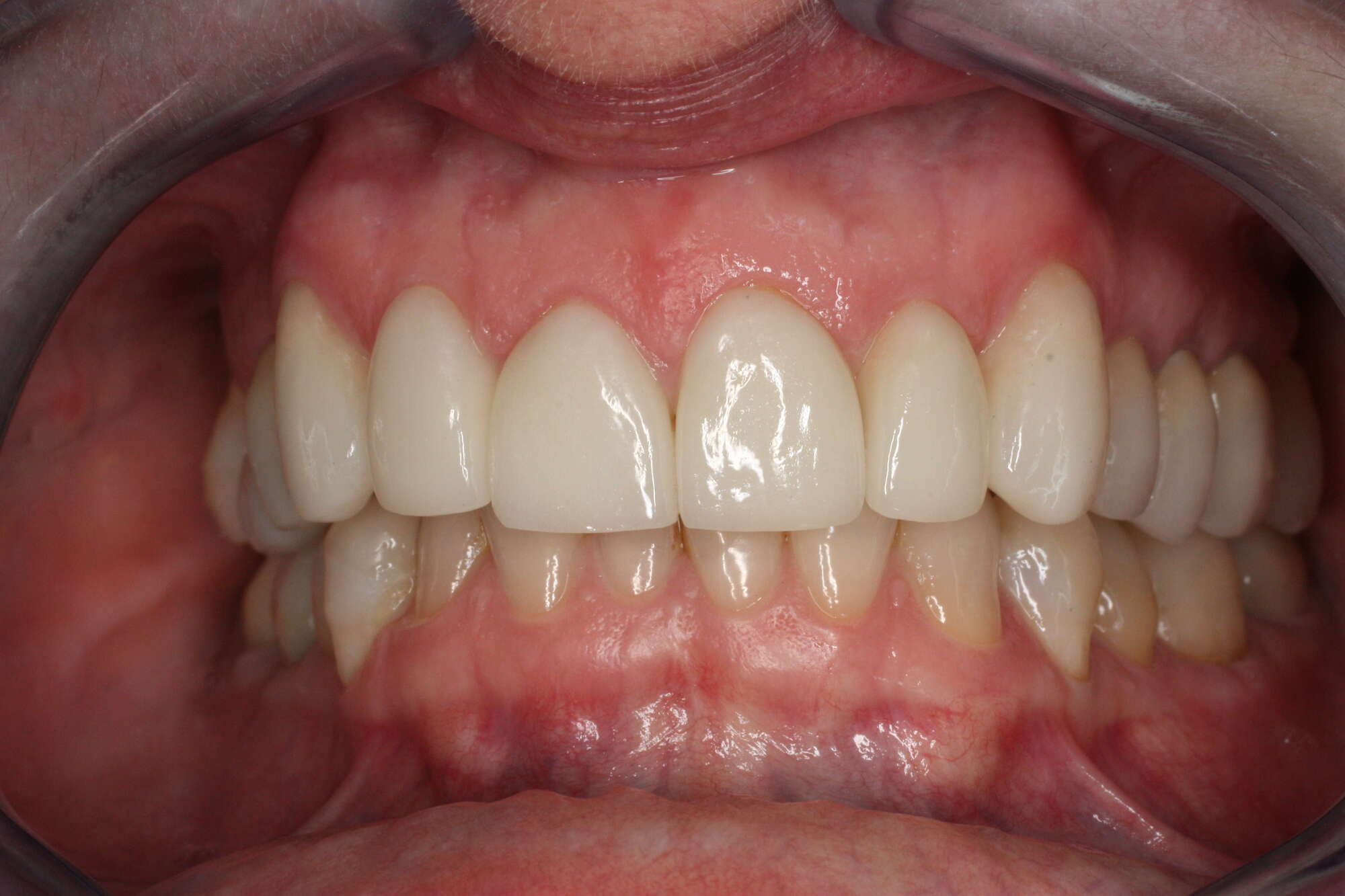
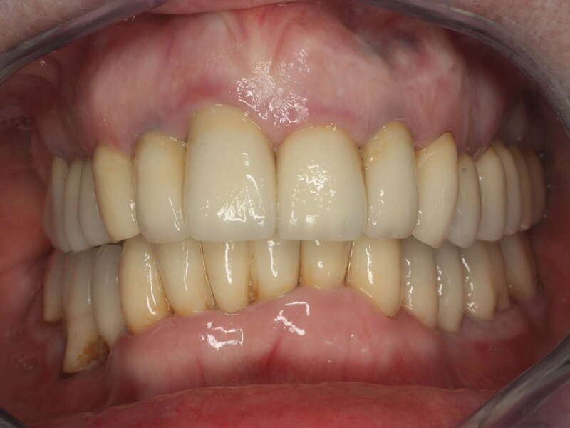
Effets et traitement de l'érosion acide 

Ici un patient qui souffrait d'usure acide lié à un Reflux Gastro-Oesophagien.
L'usure des dents était devenue telle qu'elle provoquait des douleurs au point qu'il avait du mal à s'alimenter.
La substance dentaire a été remplacée par de l'émail artificiel ( céramique ), ce qui a permis de protéger les dents, leur redonner une bonne efficacité masticatoire, et supprimer les douleurs déclenchées par le chaud et le froid. Tout cela sans à avoir à dévitaliser une seule dent, et en économisant le plus d'émail restant possible. 

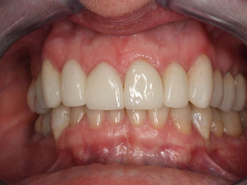
Conséquences esthétiques de l'usure des dents 

Parfois, les patients ne consultent pas pour des problèmes fonctionnels ( douleurs ou difficultés à mastiquer ), mais parce que l'usure des dents a tendance a vieillir le sourire et à lui faire perdre sa luminosité.

Les céramiques sont le matériaux de choix pour gérer ces problèmes esthétiques durablement, car elles ont une très bonne résistance à l'usure et ne se ternissent pas dans le temps comme pourraient le faire les composites

Informations pratiques

Accès

Dr GREGORY BAILLIARD

00 41 22 95 97 50 0

Rendez-vous

Lundi 8h - 12h13h - 18h
Mardi 8h - 12h13h - 18h
Mercredi Fermé
Jeudi 8h - 12h13h - 18h
Vendredi 8h - 12h13h - 18h
Samedi Fermé
Dimanche Fermé

Pensez à prendre rendez-vous avec le cabinet avant de vous déplacer.

A savoir

Le Dr Gregory Bailliard vous accueille au Centre Dentaire Champel, dans un environnement moderne et apaisant, pensé pour vous offrir une prise en charge de qualité, centrée sur votre confort et votre santé bucco-dentaire.

Création et référencement du site par Simplébo Simplébo

Connexion